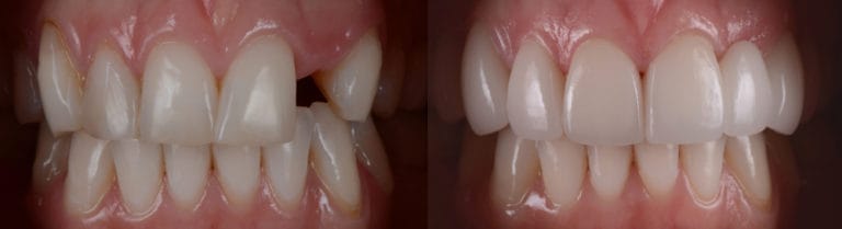
Missing teeth can be a real issue. Not only do they make it hard to chew and speak correctly, but they can also lead to other dental problems. If you’re missing one or more teeth, finding a way to replace them as soon as possible is essential. One of the best ways to do this is with dental implants. Here are the reasons why dental implants are the best way to replace missing teeth.
Strong and Durable
Dental implants are one of the most popular and successful procedures in dentistry. They are solid and durable and can last for many years with proper care. Implants are made of titanium, a biocompatible material accepted by the body. They are placed in the jawbone, fusing with the bone and providing a solid foundation for dental restoration.
Implants can replace a single tooth, several teeth, or an entire arch of teeth. They also stabilize dentures, providing a more secure fit and preventing them from slipping. Implants are a safe and effective way to restore lost teeth and can last for many years with proper care. If you are considering dental implants, talk to your dentist about whether they are right for you.
Dental implants are also natural looking and can be matched to your existing teeth.
It is no secret that dental implants are one of the most popular and effective ways to replace missing teeth. Not only do they look natural, but they can also be matched to your existing teeth. Dental implants are so lifelike that many people find it difficult to tell them apart from their natural teeth. One of the best things about dental implants is that they are incredibly durable and can last for many years with proper care.
They are also an excellent option for people with difficulty wearing or who suffer from jaw pain. And while dental implants are typically more expensive than other tooth replacement options, they are often worth the investment because of their many benefits. If you are considering dental implants, talk to your dentist about all your options and find out if they are right for you.
Dental implants are permanent and will not need to be replaced like dentures or bridges.
When it comes to dental implants, you want to know that they are a permanent solution. Unlike dentures or bridges, which may need to be replaced over time, dental implants are a permanent solution that will not need to be replaced. This makes them an excellent option for those seeking a long-term solution to their dental problems.
In addition to being a permanent solution, dental implants are also a very reliable one. They are known to last for many years, providing you with the perfect smile you have always wanted. Dental implants can also help to improve your overall oral health by helping to keep your jawbone healthy and strong.
Dental implants are easy to care for and only require regular brushing and flossing.
People often wonder if dental implants are challenging to take care of. The answer is no – dental implants are straightforward to care for. All you need to do is brush and floss regularly, and you’ll be fine. Many people are hesitant to get dental implants because they think they will be challenging to take care of.
But that’s not the case at all. Dental implants are straightforward to care for – all you need to do is brush and floss regularly. This will keep your implants clean and healthy and last for many years. If you’re considering getting dental implants, be sure to keep in mind that they are straightforward to take care of. Just brush and floss regularly, and you’ll be good to go!
Dental implants are also safe and have a shallow risk of complications.
When it comes to dental implants, many people are worried about the safety and the risk of complications. However, dental implants are very safe and have a shallow risk of complications. Most patients who get dental implants experience no problems at all. Dental implants are a great way to replace missing teeth, and they offer several benefits over other forms of tooth replacement, such as dentures.
Dental implants are permanent, so you don’t have to worry about them slipping or moving around in your mouth. They also look and feel more like natural teeth than dentures do. If you’re considering getting dental implants, talk to your dentist about the risks and benefits involved. Dental implants are a safe and effective way to replace missing teeth, and they can provide you with a long-lasting, natural-looking smile.
Dental implants can also help to preserve your jawbone and prevent bone loss.
There are many good reasons to consider dental implants – not the least- that they can help preserve your jawbone and prevent bone loss. Dental implants are a great way to restore your smile if you miss one or more teeth. Not only do they look and feel natural, but they also help preserve your jawbone’s health. When considering dental implants, it’s essential to understand how they work.
Dental implants are made up of three parts:
- The implant itself is placed in the jawbone.
- The abutment connects the implant to the crown.
- The crown is the part of the implant you see in your mouth.
The implant is made of titanium, which is biocompatible, meaning it’s safe to use in the body. The titanium implant fuses with the jawbone, creating a solid foundation for the replacement tooth. The abutment screws into the implant and holds the crown in place. The crown is made of porcelain or ceramic and looks like a natural tooth.
Dental implants are an affordable option for replacing missing teeth.
Missing teeth can be a significant problem for your appearance and oral health. If you miss one or more teeth, you may feel self-conscious about your smile and find it difficult to eat or speak properly. In addition, missing teeth can cause other teeth to shift out of place, leading to further dental problems. One solution for replacing missing teeth is dental implants. Dental implants are artificial tooth roots that are surgically implanted into the jawbone.
Once the implants are in place, a crown or bridge can be attached to them, providing a natural-looking and functional replacement for missing teeth. Dental implants are a cost-effective alternative to other forms of tooth replacement, such as dentures or bridges. They also last longer than other options and are less likely to cause problems with speech or eating. If you are missing one or more teeth, consider dental implants as a replacement option. Dental implants are affordable, durable, and natural-looking, making them the best way to replace missing teeth.
Summary
Dental implants are a popular option for replacing missing teeth because they offer several benefits over other treatment options. Implants are permanently anchored in the jawbone, so they feel and function like natural teeth. They also help maintain your face’s shape and prevent bone loss. If you’re considering dental implants as an option for replacing missing teeth, be sure to consult with a qualified dentist who can assess your situation and recommend the best treatment plan for you.
If you’re considering dental implants as an option for replacing missing teeth, be sure to consult with a qualified dentist at Bowcutt Dental. Our experienced dentists can assess your situation and recommend the best treatment plan. We offer various implants, including traditional implants, mini implants, and implant-retained dentures. We also provide different financing options to make dental implants affordable for everyone. Contact us today to schedule a consultation and find out if dental implants are the right solution for you.
